「頭可以不洗,妝不能不卸」應該是所有女性的生活原則!就算妳回家再累,都不能跳過卸妝的程序,尤其眼妝更是要仔仔細細的卸乾淨。在國外有位媽媽,就是因為平時睫毛膏沒卸乾淨,導致她的視力受損,甚至到失明的程度!

來自澳洲雪梨的泰瑞莎‧林區 (Theresa Lynch) 今年已經50歲了,一直以來她都沒有良好的卸妝習慣,睫毛膏經常沒卸乾淨。某天,泰瑞莎突然覺得眼睛異物感重,像是有東西在裡面,相當不適。

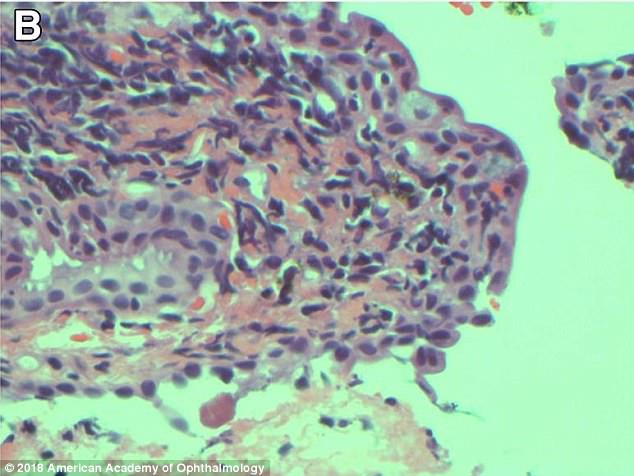
經過醫生診斷,因為25年來,泰瑞莎都沒有將睫毛膏卸除,導致她的眼瞼處竟然長出硬結石,這些腫塊對她的視力造成了嚴重的威脅,需要全身麻醉和90分鐘的手術來清除它們。而泰瑞莎表示:「我非常不舒服,我的眼皮腫得很嚴重,因為我有25年沒卸睫毛膏。」



羅伯特醫生表示,翻開泰瑞莎的眼睛可以看見眼白部分成玻璃狀和大量的血絲,另外,醫生也發現了多處黑斑,這是因為眼皮下堆積的睫毛膏積聚引起的,每當泰蕾莎眨眼睛時,這些結石都會摩擦眼睛表面,如果眼睛表面的劃痕受到感染,這可能會導致失明。根據美國眼科光學學會表示,這些斑點是黑色素造成的「結膜結核病」,與結膜炎類似。

另外,羅伯特醫生也表示,這樣的病例相當少見,泰瑞莎眼睛表面的傷痕已經是永久性的傷害,無法復原。
因為不良的卸妝習慣,泰瑞莎差點失去她的雙眼,經過此事後,她強調「這種症狀就像是有人往你的眼睛丟了一把沙子,非常不舒服。所以希望所有女性在卸睫毛膏時,一定要仔細卸乾淨。」

大家睫毛膏一定要卸乾淨喔!
TEEPR貓咪走邊邊:卸妝很重要~~
(往下還有更多精彩文章!)