首頁
台灣
世界
動物
圖文
娛樂
女生
出門
動漫
生活
公關專欄
編輯專欄
網人365
選擇語言:
還原
简体
繁體
關於我們
徵才
聯絡我們
刊登廣告
安卓APP
愛瘋APP
選單
首頁
台灣
世界
動物
娛樂
電影
星聞
影評
美漫
圖文
女生
時尚單品
美妝
感情
出門
旅遊
美食
動漫
動漫宅
遊戲
Cosplay
生活
求職
藝術
知識
星座
科技
小物
親子
公關專欄
編輯專欄
蘑菇宅
雪若Q談人蔘
Adrian
ChloE直講
網人365
今日紅什麼
本週主打星
TEEPR原創影片
叭啦叭啦研究室
TEEPR推一波
亮新聞
IG專區
首頁
台灣
世界
動物
圖文
娛樂
女生
出門
動漫
生活
公關專欄
編輯專欄
網人365
宅女貞德寫的文章
24歲辣媽抵死不要順產「堅持剖腹產」,老公一聽到原因臉都綠了…
March 25, 2018
台灣
,
世界
單親媽獨力養3子「花303萬買房」,直到「銷售經理自殺」才知畢生積蓄都沒了!她崩潰:媽媽給你們買了新房子,但…
March 25, 2018
台灣
,
世界
小黃狗「蛋蛋被3條橡皮筋捆到腐爛」,現在又被畫上「兩津眉毛」到底虐待人還要多可惡…
March 24, 2018
世界
,
動物
兩女一進家「聞到瓦斯味」,嚇得馬上「進行點火測試」證明瓦斯是真的…網:87+87=174
March 23, 2018
台灣
,
世界
新娘「0聘金出嫁」:我嫁的是愛情!全場父母森77「臉容扭曲」,網痛斥:有了孩子你就知道
March 23, 2018
台灣
,
世界
強國客行李過X光機「裡面怪怪的」,一打開滿滿「詭異洞洞」小黑點蠕動竄出!關員嚇傻但他:壯陽很有效(圖片慎入)
March 23, 2018
台灣
,
世界
,
動物
爸爸「徒手抱幼女」玩60公尺高空彈跳,「女兒嚇到閉眼+一臉想哭」但他:不是我決定的(影片)
March 23, 2018
台灣
,
世界
《獵人》為什麼一直休刊?作者終於把真相說出來…網哭:我們誤會冨奸了
March 21, 2018
台灣
,
世界
,
動漫宅
女子擁「230公分巨臀」大到可當麻將桌!她當上網紅提供「窒息式服務」給忠粉:他們很愛
March 21, 2018
世界
詭異!老外發現「外星人」直接整隻串起來燒烤,民眾紛紛排隊等吃…(7張)
March 21, 2018
美食
,
世界
李連杰重病後「首次露臉」!憔悴蒼老「嚴重駝背近照」流出,「拒絕拍照原因」讓人太心疼…
March 21, 2018
星聞
,
台灣
,
世界
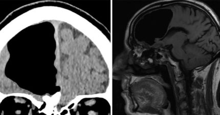
男子被驗出「巨大腦洞」,「半個大腦不見了」但仍跟我們一樣正常!醫生這樣解釋
March 21, 2018
台灣
,
世界
跳轉頁面
« 第一頁
‹ 上一頁
169
170
171
172
173
174
175
176
177
178
179
下一頁 ›
最後一頁 »
← Older posts
Newer posts →
兒童不宜內容
此內容只給年滿18歲的讀者觀看,如非18歲請退出!
我大人了啦!
未滿18歲
cwv3_den_title
cwv3_den_msg
未滿18歲