她3年瘦10公斤!竟是罹癌末期 醫警告「2徵兆」恐來不及了

胰臟癌早期幾乎沒有明顯症狀,等到出現症狀時,往往已經進入晚期!胰臟醫師林相宏在臉書表示,每次聽到患者描述生病的過程,都希望能讓 「早知道」變成「還好早知道,早發現」,不想讓遺憾的事重複發生。那麼,胰臟癌會先冒出哪些徵兆呢?一起往下看吧!



December 10, 2025
選擇語言:
TEEPR原創
採訪報導
綜合報導
編譯
特稿

胰臟癌早期幾乎沒有明顯症狀,等到出現症狀時,往往已經進入晚期!胰臟醫師林相宏在臉書表示,每次聽到患者描述生病的過程,都希望能讓 「早知道」變成「還好早知道,早發現」,不想讓遺憾的事重複發生。那麼,胰臟癌會先冒出哪些徵兆呢?一起往下看吧!



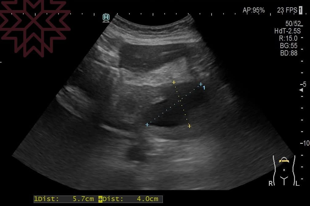
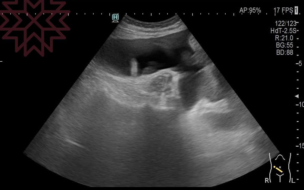
翻攝自臉書 (胰臟醫師 林相宏 禾馨民權內科診所)

 

林相宏表示,一名50歲的女性,平時只有高血壓、高血脂疾病,這3年來慢慢瘦了10公斤,身體沒有任何不舒服,心中還暗自竊喜,可是反而罹患糖尿病,開始服用糖尿病的用藥,兩個月前感染了新冠肺炎後,才開始覺得腹部有悶脹感,沒有特定部位,就是覺得整個肚子發脹,吃胃藥也沒效,胃口也下降了! 



示意圖,翻攝自pexels
 
林相宏指出,女子驚覺有異,結果超音波一照,全肚子都是癌症產生的「腹水」,切片確診胰臟癌末期,「這時要如何讓腹水消除、肚子不要發脹呢?我只能說已經腹水難收。」


廣告1

 

林相宏提到,血糖上升早於胰臟癌3年來報到,高達「8成」胰臟癌病患都有高血糖的症狀,新診斷的糖尿病更危險,未來3年內有1%風險會得到胰臟癌,請每年篩檢,這個風險是一般人的8倍。

翻攝自臉書 (胰臟醫師 林相宏 禾馨民權內科診所)

 

至於什麼樣的病人要更加注意?林相宏解釋,年紀越大得到糖尿病風險越高,體重反而下降,所以如果血糖上升伴隨體重下降,要非常非常小心,腹脹胃悶吃胃藥也沒效。不要永遠當胃病,國人超愛吃胃藥,腹脹胃悶尤其到腰背部痠痛、挺不直,就要小心是胰臟問題。



示意圖,翻攝自pexels
 
最後,林相宏感嘆,若是胃口下降、體重下降,通常已經來不及了!
25歲女網紅只吃「雞胸肉+花椰菜」減肥 胰臟大面積壞死
她60歲腎癌術後「常吃1蔬菜」 十年沒復發!排毒抗發炎
比豬油兇!醫警告:「它」是殺死血管的兇手
也太嚴重了吧!

參考資料:臉書 (胰臟醫師 林相宏 禾馨民權內科診所)
TEEPR 亮新聞著作權聲明:非法抄襲TEEPR 亮新聞網站請注意,本站所有內容皆由自家TEEPR 亮新聞 編輯撰寫,並非如非法內容農場複製貼上。本網站之文字敘述、圖片、影像視聽及其他資訊等,非經授權,不得轉載。如侵權將立刻請臉書封鎖專頁。微改標題、圖片、前段,仍然抓得到!
分類:台灣, 知識
加入粉絲團! 她3年瘦10公斤!竟是罹癌末期 醫警告「2徵兆」恐來不及了留言按此 好友人數分享! 好友人數加入好友
廣告
廣告